• صحة اﻷسنان
  • اﻷمراض
  • مقالات طبيه و فيديوهات
  • خدمتنا

MPEG Medical Pages EG

  • الرئيسيه
  • طب و حياة
    • صحة العيون
    • الطب البديل
    • صحة الرجل
    • صحة المرأة
    • الصحة النفسية
    • صحة جنسية
  • الرشاقة والجمال
    • العناية بالجمال
    • الحمية والتغذية
    • اللياقة البدنية
    • أكلات صحية
    • العناية بالشعر
    • العناية بالبشرة
  • الحمل و الولاده
    • أعراض الحمل
      • اختبار الحمل
      • أعراض الحمل
    • مشاكل الحمل
      • غثيان الحمل
      • ضغط الحمل
      • سكر الحمل
      • تثبيت الحمل
      • تأخر الحمل
      • الانيميا-والحمل
      • الإجهاض
      • مشاكل الحمل
    • مراحل الحمل والولادة
    • مراحل تكوين الجنين
      • شكل الجنين
      • حركة الجنين
      • مشاكل الجنين
      • نوع الجنين
      • مراحل تكوين الجنين
    • علامات الولادة
      • تسهيل الولادة
      • الولادة الطبيعية
      • الولادة القيصرية
      • مشاكل الولادة
      • علامات الولادة
    • صحة الطفل
  • السكري
    • أعراض السكري
    • الوقاية من مرض السكري
      • أسباب السكري
      • معلومات عن السكري
      • الوقاية من مرض السكري
    • أنواع السكري
      • سكري البول
      • سكري الأطفال
      • السكري النوع الثاني
      • السكري النوع الأول
      • أنواع السكري
    • علاج السكري
    • القدم السكري
    • تغذية مريض السكري
  • السرطان
    • معلومات عن السرطان
    • أعراض السرطان
    • تغذية مريض السرطان
    • سرطان القولون
    • سرطان البروستاتا
    • سرطان الثدي
    • سرطان الدم
    • سرطان الرئة
    • جميع المعلومات عن السرطان
  • صحة عامة
    • جلدية
      • عين السمكة
      • رائحة العرق
      • الحروق
      • الجروح
      • الثعلبة
      • البهاق
      • معلومات اخري عن الجلديه
    • إسعافات أولية
    • القلب
      • عيوب القلب الخلقية
      • روماتيزم القلب
      • تغذية مريض القلب
      • الحفاظ على صحة القلب
      • أمراض القلب لدى الأطفال
      • نوبات وجلطات القلب
      • قصور وتضخم القلب
      • وخزات وآلام القلب
      • معلومات اخره عن القلب
    • الإقلاع عن التدخين
      • طرق الإقلاع عن التدخين
      • أضرار التدخين
      • الإقلاع عن التدخين
  • الرئيسيه
  • أمراض الدم

أمراض الدم

أنيميا نقص الفيتامين Vitamin-deficiency Anemia
02 Jul

أنيميا نقص الفيتامين Vitamin-deficiency Anemia

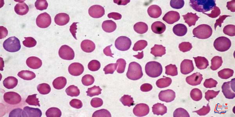
أنيميا نقص الفيتامين تمثل نقص كرات الدم الحمراء القادرة على أداء وظائفها بسبب نقص أحد الفيتامينات المؤثرة على

المصدر Daily Medical Info اﻷمراض, أمراض الدم 2019-07-02 قراءة المزيد
أنيميا نقص الحديد Iron-deficiency Anemia
02 Jul

أنيميا نقص الحديد Iron-deficiency Anemia

أنيميا نقص الحديد هو نوع شائع من أنواع الأنيميا، وهي افتقاد الدم لكرات الدم الحمراء السليمة التي تؤدي وظيفتها،

المصدر Daily Medical Info اﻷمراض, أمراض الدم 2019-07-02 قراءة المزيد
سرطان الدم الليمفاوي المزمن CLL
21 Apr

سرطان الدم الليمفاوي المزمن CLL

سرطان الدم الليمفاوي المزمن CLL هو نوع من أنواع سرطان الدم ونخاع العظم، وهو نسيج إسفنجي داخل العظام حيث تُصنع خلايا

المصدر Daily Medical Info اﻷمراض, أمراض الدم 2020-04-21 قراءة المزيد
سرطان الدم مشعر الخلايا Hairy Cell Leukemia
15 Jan

سرطان الدم مشعر الخلايا Hairy Cell Leukemia

يُعد سرطان الدم مشعر الخلايا أو الابيضاض المشعر الخلايا أو لوكيميا الخلايا الشعيرية، سرطان نادر الحدوث، كما

المصدر Daily Medical Info اﻷمراض, أمراض الدم 2020-01-15 قراءة المزيد
الثلاسيميا Thalassemia
08 May

الثلاسيميا Thalassemia

الثلاسيميا أو أنيميا البحر المتوسط هي مرض وراثي بالدم يتسبب بنقص نسبة الهيموجلوبين وكرات الدم الحمراء في جسدك

المصدر Daily Medical Info اﻷمراض, أمراض الدم 2020-05-08 قراءة المزيد
سرطان الدم الليمفاوي الحاد Acute Lymphocytic Leukemia
15 Jan

سرطان الدم الليمفاوي الحاد Acute Lymphocytic Leukemia

سرطان الدم الليمفاوي الحاد هو نوع من أنواع سرطان الدم ونخاع العظم (هو نسيج إسفنجي داخل العظام حيث تُصنع خلايا

المصدر Daily Medical Info اﻷمراض, أمراض الدم 2020-01-15 قراءة المزيد
فقر الدم اللاتنسجي Aplastic anemia
02 Jul

فقر الدم اللاتنسجي Aplastic anemia

فقر الدم اللاتنسجي هو حالة تحدث عندما يتوقف الجسم عن إنتاج خلايا دم جديدة كافية. وفقر الدم اللاتنسجي يجعلك تشعر

المصدر Daily Medical Info اﻷمراض, أمراض الدم 2019-07-02 قراءة المزيد
مرض فون ويليبراند Von Willebrand disease
31 Dec

مرض فون ويليبراند Von Willebrand disease

مرض فون ويليبراند هو اضطراب نزيف يستمر لمدى الحياة، حيث لا يتجلط فيه الدم بشكل جيد. وقد وُلد معظم الأشخاص المصابين

المصدر Daily Medical Info اﻷمراض, أمراض الدم 2019-12-31 قراءة المزيد
متلازمة انحلال الدم اليوريمي Hemolytic uremic syndrome (HUS)
31 Dec

متلازمة انحلال الدم اليوريمي Hemolytic uremic syndrome (HUS)

متلازمة انحلال الدم اليوريمي هي الحالة التي تنتج عن التدمير الشديد لخلايا الدم الحمراء. وهذا الضرر الذي يُصيب

المصدر Daily Medical Info اﻷمراض, أمراض الدم 2019-12-31 قراءة المزيد
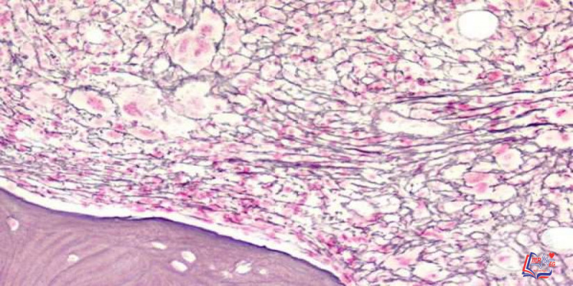
تليف نخاع العظم Myelofibrosis
20 Jan

تليف نخاع العظم Myelofibrosis

تليف نخاع العظم أو التليف النقوي هو اضطراب خطير يُصيب نخاع العظام ويُحدث خللاً في إنتاج الجسم الطبيعي لخلايا

المصدر Daily Medical Info اﻷمراض, أمراض الدم 2020-01-20 قراءة المزيد
1 2

عرض من 1 الي 10 من اجمالي 18

Tags
البصري فتح أمراض الدم زرقاء الخروب للتفاح مرارة Hyperthyroidism صحتهم علاج الانيميا للحامل
Find us on Facebook
Medical Pages EG
علشان صحتك
احدث المفالات
  • مضار فيتامين د
    اعراض فقر الدم عند الاطفال .. انتبهي لها!

    لا شك أن فقر الدم من الحالات المرضية الأكثر شيوعاً، ورغم أنه قد يصيب الأشخاص في جميع الأعمار، ولكننا اليوم نتحدث

  • عمى الألوان Color blindness
    ما هو حليب جوز الهند وكيف يتم صنعه وما هي فوائده؟

    كل امرأة تبحث عن العلاجات الأفضل لبشرتها بلا شك، وإنت كنت ممن يفضلن العلاجات والوصفات الطبيعية، فقد يكون حليب

 
  • مضار فيتامين د
    مضار فيتامين د

    يلعب فيتامين د دورًا مهمًا في حياتنا اليومية، ويتحكم في بعض العمليات الحيوية في الجسم، ولكن ماذا لو زادت كمية

  • عمى الألوان Color blindness
    عمى الألوان Color blindness

    عمى الألوان أو ضعف رؤية الألوان، هو عدم القدرة على التمييز بين ألوان معينة. ويعتبر مصطلح “عمى الألوان” أكثر

TAGS

الكهربية حساسية المرضي جوزة التخسيس؟ كرة طريقك بهجت البطيني تعوض

Medical Pages EG

© جميع الحقوق محفوظه صفحات طبيه مصريه 2013 - 2026.

  • Sitemap